起点新闻·西部网记者5月30日从星空app官网了解到,北京时间5月30日17时,《自然-植物》(Nature Plants)杂志以长文(article)形式在线刊发了星空app官网地质学系副教授刘丽静等人的最新成果——《奥陶纪海洋轮藻及其对陆地植物起源的启示》,宣告了在中国塔里木和鄂尔多斯盆地发现了地球上已知最早的轮藻门化石。该研究将轮藻门化石的地质记录从晚志留世提前到晚奥陶世,将其起源时间向前推进了约2800万年,为陆地植物于奥陶纪起源于轮藻门的推论提供了关键的化石证据。

基于化石和现代轮藻纲构建的 Tarimochara miraclensis复原图(刘茜绘制)
陆地植物(又称有胚植物)的起源是地球演化历史上重要的生物演化事件。基于形态、解剖、生理和基因特征的研究认识,植物学界有一个共识性的假说——陆地植物起源于陆地淡水藻类轮藻门(广义,又称链形藻类)。目前最早的陆地植物的化石一般认为是中奥陶世达瑞威尔期出现的有规则四分体结构的隐孢子,或者代表了陆地植物减数孢子先于孢子体演化出来。而在此前,最早的双星藻纲化石记录来自于中泥盆世,而最确切最古老的轮藻门化石记录来自晚志留世(425Ma)的陆相地层的轮藻纲化石。因此,晚志留世之前轮藻门化石记录的缺乏,阻碍了人们对陆地植物是否在奥陶纪期间从轮藻门演化而来的认识。

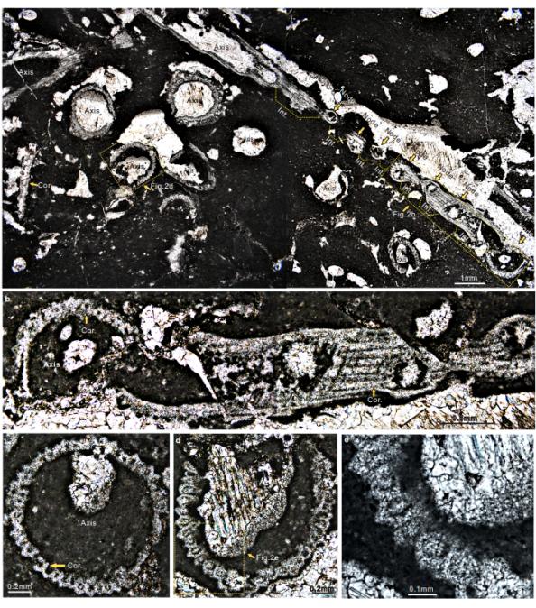
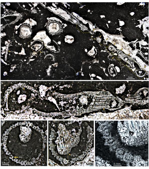
奇迹塔里木轮藻Tarimochara miraclensis产出地区和层位

已知最古老的轮藻门化石奇迹塔里木轮藻Tarimochara miraclensis
刘丽静介绍,“此次发现的化石样本,是来自塔里木盆地晚奥陶世早期(凯迪早期)以及尔多斯盆地晚奥陶世早期(凯迪中期)(450Ma)的海相碳酸盐岩地层中的海生的轮藻钙质叶状体化石。因为该化石奇迹般地保存了轮藻纲叶状体关键特征的正模标本来自塔里木盆地,于是我们团队把他骄傲地命名为奇迹塔里木轮藻Tarimochara miracelensis gen.et sp. nov.。”
该化石主轴上有轮生小枝,且有节与节间分化,节间上覆盖有纵向排列的皮层细胞,并且小枝也具有皮层细胞。此外,还发现了稀少的可能是覆盖藏卵器的外壳化石。它们的叶状体和现生的轮藻非常接近,表明轮藻叶状体演化非常保守。同时,由于其皮层细胞更多,缺乏复杂的外壳和钙化藏卵器等特征,所以推断是轮藻纲的基干类群。研究团队根据红藻门、绿藻门、轮藻门中6个纲,以及陆地植物各门类共13个类群62个性状特征的系统发育分析,进一步确认了陆地植物与轮藻门的演化关系。
该发现首次揭示出,在晚奥陶世凯迪早期之前已经出现了从轮藻门向陆地植物的进化过程中的关键的形态创新(如多细胞分枝、卵式生殖等),这一发现对证实陆地植物于奥陶纪起源于轮藻门的假说有重要的科学价值。
刘丽静为论文第一作者,星空app官网为第一完成和通讯单位。中国科学院地质与地球物理研究所和美国田纳西大学为共同通讯单位。该研究是由中国科学院院士、星空app官网地质学系教授舒德干领衔的星空app官网早期生命与环境创新研究团队继其在寒武纪动物门类起源和演化领域取得一系列高水平研究成果以来,首次在奥陶纪藻类与植物起源领域取得重要成果。
起点新闻记者 李卓然
原文链接:https://qidian.sxtvs.com/timing/share/content/10601161