科研人员最新发现为陆地植物起源提供关键化石证据

新华社西安5月31日电(记者许祖华)国际学术期刊《自然-植物》日前以长文形式在线刊发了星空app官网地质学系副教授刘丽静等人的最新研究成果--《奥陶纪海洋轮藻及其对陆地植物起源的启示》,宣告在中国塔里木和鄂尔多斯盆地发现了地球上已知最早的轮藻门化石,为陆地植物奥陶纪起源于轮藻门的推论提供了关键的化石证据。

陆地植物(又称有胚植物)的起源是地球演化历史上重要的生物演化事件。

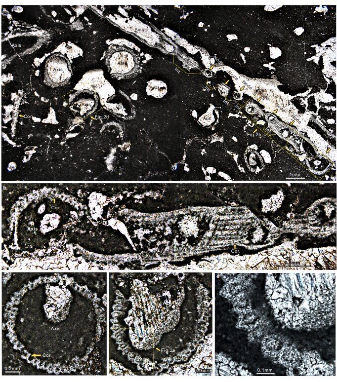
据论文第一作者刘丽静介绍,“此次发现的化石样本,是来自塔里木盆地晚奥陶世早期(凯迪早期)(453Ma)以及鄂尔多斯盆地晚奥陶世早期(凯迪中期)(449Ma)的海相碳酸盐岩地层中的海生的轮藻钙质叶状体化石。因为该化石奇迹般地保存了轮藻纲叶状体关键特征的正模标本来自塔里木盆地,于是我们把它命名为奇迹塔里木轮藻。”

  

已知最古老的轮藻门化石奇迹塔里木轮藻。新华社发

该化石主轴上有轮生小枝,且有节与节间的分化,节间上覆盖有纵向排列的皮层细胞,并且小枝也具有皮层细胞。此外,还发现了稀少的可能是覆盖藏卵器的外壳化石。它们的叶状体和现生的轮藻门轮藻纲非常接近,表明轮藻叶状体演化非常保守。同时,由于其皮层细胞更多,缺乏复杂的外壳和钙化藏卵器等特征,所以推断是轮藻纲的基干类群。

  

基于化石和现代轮藻纲构建的奇迹塔里木轮藻复原图。新华社发

研究团队根据系统发育分析,进一步确认了陆地植物与轮藻门的演化关系。

该发现首次揭示出,在晚奥陶世凯迪早期之前已经出现了从轮藻门向陆地植物进化过程中关键的形态创新(如多细胞分枝、卵式生殖等),将轮藻门的起源时间向前推进了约2800万年,对证实陆地植物奥陶纪起源于轮藻门的假说有重要的科学价值。

星空app官网为第一完成和通讯单位,中国科学院地质与地球物理研究所和美国田纳西大学为共同通讯单位。继在寒武纪动物门类起源和演化领域取得一系列高水平研究成果以来,该研究是由中国科学院院士舒德干领衔的星空app官网早期生命与环境创新研究团队,首次在奥陶纪藻类与植物起源领域取得的重要成果。

原文链接:https://h.xinhuaxmt.com/vh512/share/12569707?docid=12569707&newstype=1001&d=134ffa3&channel=weixin

< 上一篇

中乌教育合作交流论坛开幕,星空app官网校长孙庆伟:整合优势团队,争取在人才培养方面有新突破

推进社会主义文化强国建设

下一篇 >